Restorative Dental Services

Treatments and services of

Restorative Dental Services

Dental fillings

Dental fillings in pediatric dentistry are a restorative treatment used to repair cavities and prevent further tooth decay. The procedure involves removing the decayed portion of the tooth and filling the space with a durable, tooth-colored material to restore function and appearance. Fillings help protect the tooth from future damage and maintain overall oral health.

Crowns in pediatric dentistry are protective restorations used to cover and strengthen severely decayed or damaged teeth. Typically made of stainless steel or tooth-colored material, crowns help restore the tooth’s shape, function, and durability. They are especially useful for preserving primary (baby) teeth until they naturally fall out, ensuring proper chewing and space maintenance for permanent teeth.

Pulpotomies in pediatric dentistry are a restorative procedure used to treat tooth decay or infection that has reached the pulp (inner tissue) of a child’s tooth. Often referred to as a “baby root canal,” a pulpotomy involves removing the infected portion of the pulp while preserving the healthy part. The tooth is then sealed and usually covered with a crown to restore strength and function, preventing further damage or tooth loss.

Extractions in pediatric dentistry are the removal of a tooth when it is severely decayed, damaged, or causing crowding issues. This procedure is sometimes necessary to prevent infection, make space for permanent teeth, or support orthodontic treatment. Dentists ensure the process is as comfortable as possible and provide aftercare instructions to promote healing and oral health.

Cosmetic bonding in pediatric dentistry is a quick and painless procedure used to repair chipped, discolored, or slightly misaligned teeth. A tooth-colored composite resin is applied, shaped, and hardened to restore the tooth’s appearance and function. This treatment helps improve a child’s smile while maintaining a natural look and protecting the tooth from further damage.

What are

Restorative Dental Services

Restorative dental services in pediatric dentistry focus on repairing and restoring the function and appearance of children’s teeth that have been damaged by decay, trauma, or other conditions.

These services aim to preserve oral health, ensure proper development, and maintain a child’s smile.

Book your appointment, and let’s start making smiles

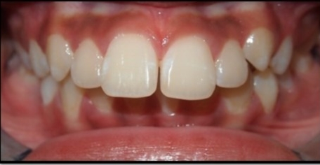
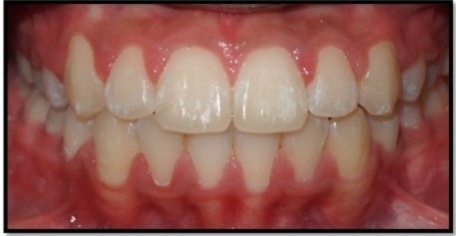
Posibles cases of

Restorative Dental Services

Some of our results

FAQs

At what age should my child have their first orthodontic evaluation?

The American Association of Orthodontists recommends an initial evaluation by age 7 to identify any early orthodontic issues.

Signs include crowded or crooked teeth, difficulty chewing, early or late loss of baby teeth, or jaw misalignment. A dentist or orthodontist can assess if treatment is necessary.

Options include traditional metal braces, ceramic braces, clear aligners (like Invisalign®), and orthodontic appliances such as palatal expanders.

Treatment duration varies but typically lasts between 12 to 24 months, depending on the severity of the case and the type of treatment used.

Fun fact!

Baby teeth matter.

Baby teeth can affect permanent teeth

Book Their Pediatric Dental Appointment Today!

* Covered by most insurances***

Manage consent

To provide the best experiences, we use technologies like cookies to store and/or access device information. Consent to these technologies will allow us to process data such as browsing behavior and unique IDs on this site. If you do not consent, or if you withdraw your consent, this may negatively impact certain features and functionality.

Gestionar consentimiento

Para ofrecer las mejores experiencias, utilizamos tecnologías como las cookies para almacenar y/o acceder a la información del dispositivo. El consentimiento de estas tecnologías nos permitirá procesar datos como el comportamiento de navegación o las identificaciones únicas en este sitio. No consentir o retirar el consentimiento, puede afectar negativamente a ciertas características y funciones.